Kamienie ślinianek

Są to małe kamienie, które tworzą się w gruczołach ślinowych w jamie ustnej i mogą blokować przepływ śliny. Zwykle nie są one poważne i możesz je usunąć samodzielnie.

Sprawdź, czy masz kamienie gruczołów ślinowych

Większość kamieni pojawia się pod językiem w jednym z przewodów (gruczołów) dostarczających ślinę do ust. Nie zawsze możesz je zobaczyć.

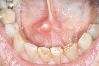
Kamienie są białe i twarde
Kamienie są białe lub blade i twarde
Kredyt:

CLINICA CLAROS / SCIENCE PHOTO LIBRARY


Kamień gruczołu ślinowego
Różnią się wielkością, ale większość z nich jest tak duża jak groszek
Kredyt:

DR P. MARAZZI / SCIENCE PHOTO LIBRARY


Kamienie mogą powodować:

  • tępy ból w ustach, który pojawia się i znika
  • obrzęk ust, który od czasu do czasu zaostrza się
  • infekcja wokół kamienia

Jeśli odczuwasz silny ból podczas posiłków, może to oznaczać, że kamień całkowicie blokuje gruczoł ślinowy. Ból trwa zwykle od 1 do 2 godzin.

Rzeczy, które możesz spróbować samemu

Możesz spróbować uwolnić kamień, wykonując czynności zwiększające produkcję śliny, takie jak:

  • ssąc cytrynę lub krople cytryny
  • picie dużej ilości wody
  • delikatnie masując wokół kamienia

Ważny

Nie używaj ostrego narzędzia do usuwania kamienia, ponieważ może to spowodować obrażenia i infekcję.

Jeśli odczuwasz ból i obrzęk:

  • weź paracetamol lub ibuprofen
  • ssać kostki lodu lub lizaki lodowe

Objawy nie ustąpią, dopóki kamień nie zostanie usunięty.

Niepilna porada: udaj się do lekarza rodzinnego, jeśli:

  • nie jesteś w stanie samodzielnie usunąć kamienia
  • kamień spowodował infekcję – objawy obejmują ból, zaczerwienienie lub ropę wokół kamienia oraz wysoką temperaturę (uczucie gorąca i dreszcze)

Zabieg usuwający kamienie

Twój lekarz rodzinny może próbować delikatnie usunąć kamień za pomocą cienkiego, tępego narzędzia.

Jeśli nie jest to możliwe, konieczne może być usunięcie kamienia w szpitalu.

Nie zawsze można zapobiec kamicy ślinianki

Nie jest jasne, co powoduje kamienie gruczołów ślinowych, więc nie ma sposobu, aby im zapobiec.

Na ogół nie są powiązane z żadnymi innymi problemami zdrowotnymi.

Kamienie ślinowe zwykle nie powracają, ale jeśli nadal je otrzymujesz, możesz zalecić usunięcie jednego z gruczołów ślinowych.