Ból lub biały język

Ból lub biały język zwykle nie jest poważny i często można go łatwo wyleczyć. Większość powinna trwać tylko przez krótki czas.

Rzeczy, które możesz zrobić sam

Zrobić

  • użyj miękkiej szczoteczki do mycia zębów

  • użyj pasty do zębów, która nie zawiera laurylosiarczanu sodu

  • szczotkuj język lub użyj skrobaczki, aby poprawić biały język

  • używaj słomki do picia zimnych napojów

  • brać środki przeciwbólowe

Nie

  • nie jedz twardych, pikantnych, słonych, kwaśnych lub gorących potraw i napojów, które mogą podrażniać język

  • nie pal

  • Nie pij alkoholu

Farmaceuta może pomóc w przypadku bólu lub białego języka

Farmaceuta może spojrzeć na Twój język i może powiedzieć Ci:

  • co to powoduje
  • jeśli możesz kupić coś, co pomoże złagodzić ból lub podrażnienie
  • jeśli powinieneś iść do dentysty lub lekarza rodzinnego

Niepilna porada: udaj się do lekarza rodzinnego lub dentysty, jeśli:

  • odczuwasz ból lub swędzenie, które nie ustępuje lub nasila się
  • mają białe plamy na języku

Najczęstsze przyczyny bólu lub białego języka

Gryzienie lub pieczenie języka gorącym jedzeniem lub napojem może powodować ból i obrzęk. Ale to powinno trwać tylko kilka dni.

Biały język może być oznaką stanu zdrowia.

Nie diagnozuj samodzielnie – jeśli się martwisz, skontaktuj się z lekarzem.

Liszaj płaski

Otwarte usta, ukazujące dolny rząd zębów, z białymi plamami na języku i wewnątrz policzka
Białe plamy na języku i po wewnętrznej stronie policzka z bólem dziąseł
Kredyt:

DR P. MARAZZI / SCIENCE PHOTO LIBRARY

Przeczytaj o liszaju płaskim .

Leukoplakia

Z ust wystaje różowy język z solidnymi białymi plamami po lewej stronie i końcówce
Białe, wypukłe plamy na języku, które nie odpadają podczas pocierania
Kredyt:

Alamy Zdjęcie Seryjne

Przeczytaj o leukoplakii .

Język geograficzny

Różowy język z białymi plamami wystającymi z ust
Poplamione, czerwone plamy na języku z białą lub jasną obwódką
Kredyt:

DR P. MARAZZI / SCIENCE PHOTO LIBRARY

Przeczytaj o języku geograficznym .

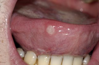
Wrzód ustny

Biało-szary okrągły ból po stronie języka wystający z ust
Okrągłe, bolesne i opuchnięte owrzodzenia, które wyglądają jak pęcherze
Kredyt:

DR P. MARAZZI / SCIENCE PHOTO LIBRARY

Przeczytaj o owrzodzeniach jamy ustnej .

Grzybica jamy ustnej

Język z solidną białą naszywką od środka do tyłu
Swędzące, czerwone usta z białymi plamami na języku
Kredyt:

DR P. MARAZZI / SCIENCE PHOTO LIBRARY

Przeczytaj o pleśniawce .

Pomóż nam ulepszyć naszą stronę internetową

Jeśli skończyłeś już to, co robisz, czy możesz odpowiedzieć na kilka pytań dotyczących dzisiejszej wizyty?

Wypełnij naszą ankietę