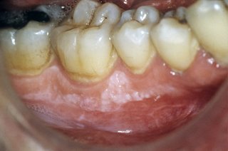
Leukoplakia to biała plama w jamie ustnej. Biała plama w jamie ustnej, która nie znika, powinna zostać sprawdzona przez dentystę lub lekarza pierwszego kontaktu.
Sprawdź, czy masz leukoplakię
/ Alamy Zdjęcie stockowe
BIBLIOTEKA ZDJĘĆ NAUKOWYCH
BIBLIOTEKA ZDJĘĆ CNRI / SCIENCE
Możliwe jest również zrobienie łatek na podłodze lub podniebieniu.
Plastry:
- nie są bolesne
- mają nieregularny kształt
- są lekko uniesione
- w obrębie plastra może być lekko czerwony
- nie można go ścierać ani zdrapać (łaty, które można usunąć, mogą być pleśniawką )
Istnieje również wiele innych przyczyn białych plam na języku .
Niepilna porada: udaj się do dentysty lub lekarza rodzinnego, jeśli masz:
- biała plama w ustach, która nie zniknęła po 2 tygodniach
- biała plama na języku i osłabiony układ odpornościowy – na przykład pacjent ma HIV lub przeszedł przeszczep narządu
Ważny
Jeśli masz leukoplakię, istnieje niewielkie ryzyko, że z czasem może ona rozwinąć się w raka jamy ustnej .
Dlatego bardzo ważne jest, aby zgłosić się do dentysty lub lekarza rodzinnego, jeśli masz w ustach biały plaster.
Co się dzieje podczas wizyty
Twój dentysta lub lekarz rodzinny zbada plaster i będzie w stanie wykluczyć inne możliwe przyczyny, takie jak grzybica jamy ustnej (pleśniawka) lub gryzienie policzka.
Możesz zostać skierowany do specjalisty w celu wykonania biopsji . Mały kawałek tkanki z plastra zostanie usunięty i sprawdzony pod kątem nieprawidłowych komórek.
Zabiegi na leukoplakię
Leczenie leukoplakii nie zawsze jest potrzebne, ale będziesz mieć regularne kontrole, aby upewnić się, że plaster nie powiększa się.
Łatka może się zmniejszyć lub zniknąć, jeśli:
- przestań palić
- zmniejszyć ilość wypijanego alkoholu
Czasami konieczna jest operacja, aby usunąć plaster, jeśli istnieje ryzyko, że może stać się rakowy.
Można to zrobić, gdy obszar jest odrętwiały (środek miejscowo znieczulający) lub podczas snu (środek znieczulający ogólny) .
Plaster można usunąć na wiele sposobów, w tym za pomocą lasera lub skalpela chirurgicznego. Twoje usta powinny szybko się zagoić.
Zapobieganie leukoplakii i rakowi jamy ustnej
W Wielkiej Brytanii leukoplakia jest głównie spowodowana paleniem. Ale czasami dokładna przyczyna nie jest znana.
Są rzeczy, które możesz zrobić, aby zmniejszyć ryzyko wystąpienia leukoplakii. Mogą one również zmniejszyć ryzyko zachorowania na raka jamy ustnej.
Zrobić
- dbaj o zdrowie jamy ustnej i zębów, dbając o zęby i dziąsła
- poddawać się regularnym kontrolom dentystycznym
- jeśli nosisz protezy , upewnij się, że są odpowiednio dopasowane
- stosuj zbilansowaną dietę , w tym dużo świeżych owoców i warzyw
Nie
- nie pal
- nie żuć tytoniu, paan ani orzechów betelu
- nie pij więcej niż zalecana ilość alkoholu
Leukoplakia włochata
Leukoplakia włochata to rodzaj leukoplakii wywoływanej przez wirusa Epstein-Barr.
Często dotyka ludzi z osłabionym układem odpornościowym, szczególnie tych z HIV i AIDS lub po przeszczepie narządu i przyjmujących leki immunosupresyjne.
Powoduje to rozmyte białe plamy, często po bokach języka, które wyglądają na pozaginane lub prążkowane. Nie są bolesne i nie można ich wyszczotkować ani zeskrobać.
W leczeniu leukoplakii włochatej można przepisać leki przeciwwirusowe lub zabiegi nakładane bezpośrednio na plaster.
W przeciwieństwie do innych rodzajów leukoplakii, leukoplakia włochata nie niesie ryzyka raka jamy ustnej.